Zahnerkrankung bei Kindern
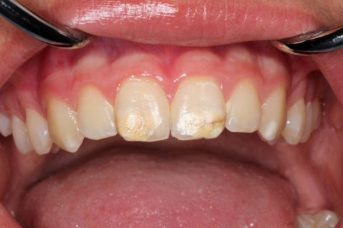
Weich, porös und bröckelig: Was bei Kreidezähnen hilft
Kreidezähne sind eine relativ neue Zahnerkrankung bei Kindern. Die Zähne sind weich, porös und bröckelig wie Kreide. Was hilft: Fluorid, ein wichtiger Booster für gesunde Zähne. Aber es gibt noch mehr, was man tun kann, um die Zähne zu stärken.