Verfärbungen und poröse Zähne - die Diagnose Kreidezähne ist für Eltern und Kinder eine Schreckensnachricht. In der kommenden Woche findet zu dem Thema ein Kongress von Fachleuten in Berlin statt. Was aber weiß die Wissenschaft schon dazu? Antworten auf die wichtigsten Fragen:
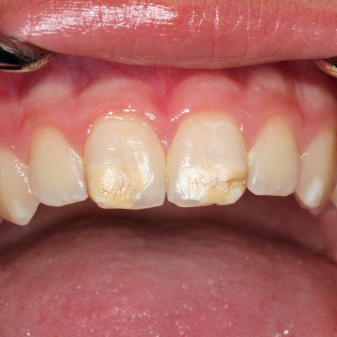
Wie sehen Kreidezähne aus?
Die Zähne haben weiße, gelbliche oder braune Flecken. Es können nur Teilflächen aber auch die gesamte Zahnkrone verfärbt sein, sagt die Präsidentin der Deutschen Gesellschaft für Kinderzahnmedizin (DGKiZ), Katrin Bekes. Klassischerweise sind ein bis vier der ersten bleibenden Backenzähne betroffen, also derjenigen, die im Alter von etwa sechs Jahren durchbrechen. Teilweise kommen Kreidezähne auch zusätzlich bei Schneidezähnen (Inzisiven) vor. Fachleute sprechen von einer Molaren Inzisiven Hypomineralisation oder MIH. Der Zahnschmelz hat an manchen Stellen weniger Minerale als gewöhnlich.
Je nach Schweregrad kann es sein, dass schon bald nach dem Durchbruch des Zahns durch das Kauen der weniger mineralisierte Zahnschmelz verloren geht. Kleine Verfärbungen fielen eher nicht auf, größere könne man auch als Laie sehen, sagt Bekes. Innerhalb der Verfärbungen könne es zum Zusammenbröseln kommen. "Man muss sich das aber nicht so vorstellen, dass ein Kind in eine Möhre beißt und der halbe Zahn fällt raus."
Ein weiteres Symptom sei die Überempfindlichkeit der betroffenen Zähne auf Wärme oder Kälte, chemische oder mechanische Reize. Insbesondere wenn sowohl Schmelzeinbrüche als auch Überempfindlichkeit auftreten, können das Zähneputzen und Kauen schmerzhaft sein.
Wie belastend ist die Situation für Kinder und Eltern?
Das hängt sehr stark von der Schwere des Befalls ab. Eine kleine Verfärbung im Zahnschmelz bei einem ersten bleibenden Backenzahn werde meist kaum bemerkt, sagt Bekes. "Häufig handelt es sich um einen Zufallsbefund." Bei schweren Fällen, wenn etwa ein Teil der Zahnkrone fehle, könne es aber sein, dass Kinder schlechter kauen können. Gleichzeitig seien Schmerzen möglich. Wichtig seien eine frühe Diagnose und entsprechende Therapiemaßnahmen, "um den Kindern die Aufnahme von Nahrungsmitteln ohne Einschränkungen zu ermöglichen", so die DGKiZ-Präsidentin.
Wie sieht eine Therapie aus?
Betroffene Kinder sollten regelmäßig zur Zahnärztin oder zum Zahnarzt gehen, sagte Bekes. Eine professionelle zahnärztliche Betreuung sowie eine gute Mundhygiene seien unerlässlich. Um Karies vorzubeugen, werde zweimal tägliches Zähneputzen mit einer fluoridhaltigen Zahnpasta empfohlen. "Studien belegen, dass Kinder mit Kreidezähnen ein höheres Risiko haben, Karies zu bekommen."
Ergänzend könne zuhause auch eine Paste genutzt werden, die mit Kalzium und Phosphat die Mineralisierung unterstützt. "Wenn lediglich eine milde Form in Form eines kleinen weißen Flecks auf dem Backenzahn diagnostiziert wurde, der nicht eingebrochen ist, und das Kind keine Schmerzen hat, dann bleibt es bei den regelmäßigen Untersuchungen und den Prophylaxemaßnahmen", so die Expertin.
Sobald die Stelle einbrösele, müsse man sich das genauer anschauen. "Je größer der Einbruch ist, desto mehr Probleme kann dies verursachen. Hier muss schnell gehandelt und die betroffene Stelle mit einer Füllung versorgt werden", sagt die DGKiZ-Präsidentin. Manchmal könnten bei schwereren Formen auch konfektionierte Kinderkronen Therapiemittel sein. In sehr schweren Fällen könne auch ein Ziehen des Zahns mit nachfolgender kieferorthopädischer Behandlung in Betracht gezogen werden müssen. Dies sei aber nur in Ausnahmefällen nötig. Internationale Daten zeigen, dass viele der betroffenen Kinder eine milde Form der MIH aufweisen.
Wie viele Kinder sind betroffen?
Weltweit sind laut der Übersichtsstudie "Global burden of molar incisor hypomineralization" von 2018, an der auch Bekes beteiligt war, schätzungsweise 13 bis 14 Prozent der Kinder betroffen. Dafür wurde 99 Studien mit mehr als 113.000 Teilnehmern aus 43 Ländern ausgewertet.
Die 5. Deutsche Mundgesundheitsstudie von 2016 hatte dagegen eine deutlich höhere Zahl ergeben. Damals hieß es, dass 28,7 Prozent der Zwölfjährigen mindestens einen hypomineralisierten Zahn mit einer MIH haben. Warum die Zahlen so hoch waren, wisse man nicht, sagt die DGKiZ-Präsidentin. Mit Spannung würden die neuen Daten aus der 6. Mundgesundheitsstudie Anfang nächsten Jahres erwartet.
Was ist die Ursache von Kreidezähnen?
Die Ursache sei nicht abschließend geklärt, sagt Bekes. Es gebe mit großer Sicherheit mehrere Faktoren. Da die Mineralisierung der betrachteten Zähne um die Geburt und in der frühen Kindheitsphase geschehe, schaue die Forschung besonders auf diesen Zeitraum. In den Fokus geraten seien etwa Probleme im letzten Monat der Schwangerschaft, Frühgeburten, Kinderkrankheiten wie Bronchitis, Lungen- oder Mittelohrentzündungen oder Antibiotikagaben. Die betroffenen Zähne kommen meist erst um das sechste Lebensjahr oder später, und erst dann kann die Diagnose gestellt werden - dies erschwere die Ursachenforschung, sagt Bekes.
Seit wann tritt das Phänomen auf?
Den Begriff der Molaren Inzisiven Hypermineralisation (MIH) gibt es offiziell seit 23 Jahren. Das Phänomen wurde 2001 definiert und die Hauptmerkmale wurden herausgearbeitet. Tatsächlich gebe es jedoch bereits aus den 80er Jahren eine Publikation, die entsprechende Symptome bei Kindern in Schweden beschreibe, sagt Bekes. In den vergangenen Jahren sei das Krankheitsbild immer mehr ins Bewusstsein gerückt.
 
 
 
 
 
 
 
 
 
 
 
 
