Die Zähne sind rau, zerfurcht und wirken fleckig: Zahnärzte warnen vor sogenannten Kreidezähnen bei Kindern. Bei dieser Erkrankung reagieren Backenzähne, aber auch Frontzähne, empfindlich auf Hitze, Kälte oder chemische Reize. Kreidezähne sind nicht nur ein kosmetisches Problem, sie können Karies fördern. Außerdem haben die Kinder Schmerzen beim Trinken, Essen und Zähneputzen, berichten Zahnmediziner der Deutschen Gesellschaft für Zahn-, Mund- und Kieferheilkunde. Ursache seien Störungen in der Mineralisation des Zahnschmelzes. Wichtig sei ein rascher Zahnarztbesuch.
Nach Angaben des Präsidenten der Deutschen Gesellschaft für Kinderzahnheilkunde, Norbert Krämer, leiden im Schnitt etwa 10 bis 15 Prozent der Kinder an Kreidezähnen. Eine neue Studie habe sogar bei 30 Prozent der unter Zwölfjährigen Kreidezähne nachgewiesen. Kreidezähne müssten daher als neue Volkskrankheit bezeichnet werden, sagte Krämer. Die Krankheit wird auch als Molare-Inzisive-Hypomineralisation (MIH) bezeichnet. Sie sei erstmals 1987 beschrieben worden.
Schadet Bisphenol A aus Plastik den Zähnen?
Erste Zahnschäden wurden den Ärzteverbänden zufolge schon bei Ungeborenen im achten Schwangerschaftsmonat registriert. Derzeit werden verschiedene Ursachen diskutiert. Eine wesentliche Rolle bei der Entstehung scheinen Weichmacher aus Kunststoffen zu spielen, die mit der Nahrung aufgenommen werden. In Tierversuchen ließ sich demnach ein Zusammenhang zwischen der Chemikalie Bisphenol A und der Entwicklung von MIH nachweisen.
Bisphenol A wirkt wie ein menschliches Hormon und steht seit Jahren in der Kritik. Der Stoff kann mit der Nahrung und über die Haut aufgenommen oder eingeatmet werden. In Babyfläschchen ist Bisphenol A seit 2011 EU-weit verboten.
Was tun bei Kreidezähnen?
Als weitere potenzielle Ursachen für MIH kommen Probleme während der Schwangerschaft, Infektionskrankheiten, Antibiotikagaben, Windpocken, Einflüsse durch Dioxine sowie Erkrankungen der oberen Luftwege in Betracht. Die genaue Ursache gilt wissenschaftlich weiterhin als ungeklärt.
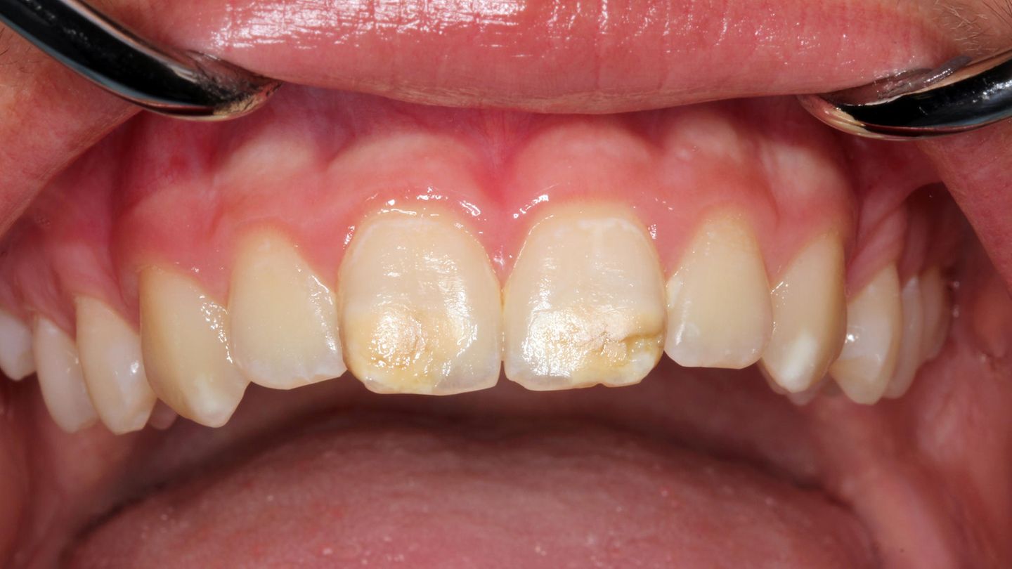
Die weiß-gelblich bis gelb-braune Oberfläche ist auf einzelnen Zahnhöckern zu finden oder auf der gesamten Oberfläche des Zahnes. Die Zähne brechen teilweise. Regelmäßige Zahnarztbesuche, das Putzen mit fluoridhaltiger Zahnpasta daheim, Flouridlack-Behandlungen beim Arzt und der Aufbau abgebrochener Zähne könnten helfen, diese zu erhalten, sagte Stefan Zimmer, Präsident der Deutschen Gesellschaft für Präventivzahnmedizin.
