Prof. Karagiannidis, Sie sind Oberarzt der Lungenklinik Köln-Merheim und leiten auch das dortige Ecmo-Zentrum – ein Verfahren, das bei Patienten mit schwerem Lungenversagen zum Einsatz kommt. Wie erleben Sie die aktuelle Situation?
Es sind stressige Zeiten, aber trotz allem kehrt auch ein Stück weit eine neue Normalität bei uns ein. Das ist gut so, denn uns allen ist klar: Der Kampf gegen das Coronavirus wird ein Marathon, kein Sprint. Den müssen wir alle überstehen.
Wie viele Covid-19-Patienten betreuen Sie?
Bei uns in der Klinik liegen aktuell zehn Patienten auf der Intensivstation, und in etwa die gleiche Anzahl noch einmal auf der normalen Station. Die Zahlen steigen allmählich. Aktuell ist das - zum Glück - ein schrittweiser, langsamer Anstieg. Was wir noch nicht sehen, ist diese explosionsartige Zunahme an Patienten, von der teilweise in anderen Ländern berichtet wird.

Experte im Interview
Prof. Dr. Christian Karagiannidis ist geschäftsführender Oberarzt der Lungenklinik Köln-Merheim und leitet das dortige Ecmo-Zentrum. Der Facharzt für Innere Medizin, Pneumologie und Intensivmedizin ist zudem Sprecher der Sektionsgruppe "Lunge – Respiratorisches Versagen" bei der Deutschen Interdisziplinären Vereinigung für Intensiv- und Notfallmedizin (Divi). Karagiannidis ist Mitinitiator sowie Sprecher des Divi-Intensivregisters.
Wie zeigt sich eine Infektion mit dem Coronavirus?
Die Bandbreite der Symptome ist groß – und auch die Schwere des Verlaufs variiert stark. Die meisten Fälle verlaufen ohne Symptome oder so, dass die Patienten nur von leichten Beschwerden berichten. Das deckt sich auch mit den Daten aus China, Italien und jetzt auch den USA. Dann wiederum gibt es Menschen, die richtig erkranken. Das führende Symptom ist hohes Fieber zwischen 39 und 40 Grad Celsius. Dazu kommt ein ganz typischer trockener Husten. Man kann diesen trockenen Husten relativ gut von einer herkömmlichen bakteriellen Lungenentzündung unterscheiden, bei der die Lunge richtig rasselt und häufig viel eitriger Auswurf entsteht.
Deutet Husten bei Covid-19 automatisch auf eine Lungenentzündung hin?
Nein. Husten ist manchmal schlicht Ausdruck einer Atemwegs-Reizung, wie wir sie von vielen Atemwegserkrankungen kennen. Er kann aber auch auf eine Entzündungsreaktion der Lunge hindeuten. Als Mediziner kann man das nicht unterscheiden, wenn ein Patient vor einem sitzt. Dann gibt es noch Husten, der auf ganz andere Ursachen zurückzuführen ist. Denken wir doch einmal an die Asthmatiker und Allergiker, von denen es in Deutschland nicht wenige gibt. Der Frühling naht und mit ihm der Pollenflug.
Sind diese Bevölkerungsgruppen besonders gefährdet?
Letztlich fehlen uns noch die Daten, um das genaue Risiko abschätzen zu können. Menschen mit schwerem Asthma sollten sich sicher gut schützen, häufig die Hände waschen und unnötige Kontakte meiden. Das halte ich schon für sinnvoll, rate das aber auch allen anderen Patienten.
Wie sieht es mit Pollenallergikern aus?
Diese Allergien sind in der Bevölkerung sehr weit verbreitet – wäre das ein entscheidender Risikofaktor, müsste sich das in den Daten zeigen. Von daher denke ich nicht, dass sie einem besonderen Risiko ausgesetzt sind. Aber auch hier gilt: Wer sich an die Vorgaben hält, die aktuell empfohlen werden, macht definitiv nichts falsch. Damit kann man viel verhindern.
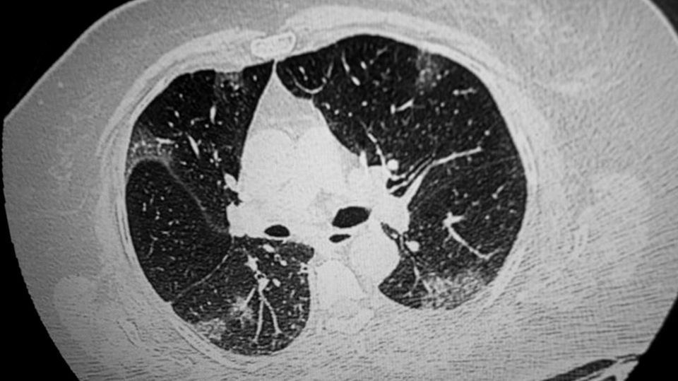
Wie lässt sich die Lungenkrankheit Covid-19 diagnostizieren?
Schwere Verläufe zeigen unter anderem schon relativ früh Veränderungen in der Lunge, die sich mit einer Computertomographie feststellen lassen. Wir sagen dazu typische Milchglasinfiltrate, die aber nicht bei jedem Infizierten auftreten. Nur der Test auf Sars-CoV-2 erlaubt aber die eindeutige Diagnose.

Bei schweren Verläufen führt das Coronavirus zu einer viralen Lungenentzündung. Welche Behandlungsmöglichkeiten gibt es?
Was Medikamente betrifft, muss man leider sagen: Bewährt hat sich noch nichts. Es gibt bislang keine einzige Studie, die zeigt, dass ein Medikament bei Menschen wirksam ist. Von daher muss ich da auch ganz entschieden Donald Trump widersprechen. Er wollte ein antivirales Mittel mit einem Antibiotikum kombinieren und sprach von einem medizinischen Durchbruch. Das ist in keiner Weise durch Studiendaten belegt. Aktuell werden viele Mittel getestet, und das ist auch gut so. Wichtig ist aber, dass diese Tests im Rahmen von Studien stattfinden. Sonst wird nie ersichtlich, ob das Mittel wirkt – oder eben nicht. Und wichtig ist auch, dass diese Mittel frühzeitig angewandt werden, am besten innerhalb der ersten ein, zwei Tage. Dann könnte ich mir vorstellen, dass diese antiviralen Medikamente durchaus etwas bringen.
Gegen bakterielle Lungenentzündungen gibt es dagegen ein Heilmittel.
Genau. Wird die Entzündung durch Bakterien ausgelöst, können wir sie relativ schnell mit einem Antibiotikum zurückdrängen. Das ist ein riesiger Vorteil, den wir bei Covid-19, aber auch anderen viralen Lungenentzündungen nicht haben.
Was ist das größte Problem bei Patienten mit schweren Verläufen?
Das Virus löst in der Lunge eine Entzündungsreaktion aus. Zusätzlich strömt Flüssigkeit in die Lungenbläschen, die wichtig für den Gasaustausch sind. Die meisten Patienten müssen auf die Intensivstation, weil in der Folge zu wenig Sauerstoff in den Körper gelangt. Es gibt Lungenentzündungen, da wird die Lunge relativ "steif". Und es gibt Lungenentzündungen, da bleibt die Lunge relativ weich. Eine Covid-Infektion zählt eher zu den letzteren. Das hat den Vorteil, dass das Ausatmen von Kohlendioxid meist noch gut funktioniert. Auch die Lungenmechanik macht keine Probleme. Aber die Patienten brauchen relativ viel Sauerstoff.
Wann sollten Covid-Patienten, die in häuslicher Quarantäne sind, einen Arzt rufen?
Das Kritischste ist die Luftnot, die sich entwickelt. Wir atmen, wenn wir gesund sind, in etwa 10 bis 15 Mal in der Minute. Entwickelt sich eine Luftnot, steigert der Körper die Atemfrequenz. Sollten Patienten also bemerken, dass sie plötzlich 25 oder 30 Mal in der Minute atmen und schon nach wenigen Schritten Luftnot bekommen, sollten sie umgehend einen Arzt kontaktieren.
Oft ist die Rede von Krankheiten, die das Risiko für einen schweren Verlauf erhöhen. Welche sind das?
Was sich bisher herauskristallisiert hat: Bluthochdruck und Diabetes scheinen eine Rolle zu spielen. Ich glaube auch, dass eine COPD (Anm.d.Red.: Chronische obstruktive Lungenerkrankung; häufig ausgelöst durch langjähriges Rauchen) ein Risikofaktor ist, auch wenn die Datenlage dazu noch nicht ganz eindeutig ist. Ich befürchte auch, dass wir sehen werden, dass schwer immunsupprimierte Patienten eine Risikogruppe darstellen. Das Alter allein halte ich dagegen für keinen aussagekräftigen Risikofaktor. Es gibt alte Menschen, die sind über 80 Jahre und topfit. Die werden auch gut mit so einer Infektion zurechtkommen. Und dann wiederum gibt es alte Menschen, die viele Vorerkrankungen haben, sodass es vielmehr die Grunderkrankungen und nicht das Alter sind, die das Risiko beeinflussen.
Wie steht es um herzkranke Menschen?
Ist die Lunge stark entzündet, verengen sich die Blutgefäße und dadurch steigt der Druck, gegen den das Herz anpumpen muss, vor allem im rechten Teil des Herzens. Herzkranke Menschen gelten damit auch als vorbelastet. Das ist aber kein typisches Phänomen bei Covid-19, wir sehen das bei allen Formen von Lungenentzündungen.
Zuletzt wurde Risikogruppen zu einer Impfung gegen Pneumokokken geraten. Die Impfung soll verhindern, dass sich zu der viralen Infektion noch eine bakterielle gesellt – eine sogenannte Superinfektion. Halten Sie die Empfehlung für sinnvoll?
Ja. Ich rate dazu, die Empfehlungen des Robert Koch-Instituts und der Stiko zu beachten. Damit fährt man gut. Die Pneumokokken-Impfung ist auch relativ sicher und hat kaum Nebenwirkungen. Das heißt: Wer zu der Risikogruppe gehört, macht damit zunächst einmal nichts falsch. Ich glaube aber auch, dass der Stellenwert nicht ganz so groß ist, wie er in der Presse zuletzt dargestellt wurde. Bei Covid-19 treten nach bisherigem Wissensstand nicht allzu viele Superinfektionen auf.
In den letzten Tagen häuften sich Berichte über schwere Verläufe bei jungen Menschen – bis hin zum Tod. Überraschen Sie diese Fälle?
Wenn junge Menschen sterben, ist das tragisch und sorgt für viel Medienrummel. Aber überrascht bin ich davon nicht, nein. Wir kennen das auch von der Influenza, die bei jungen Menschen in Einzelfällen zu schwersten Verläufen führt. Wenn man sich die Gesamtzahl der Corona-Infizierten ansieht, ist der Anteil schwer erkrankter junger Menschen relativ niedrig. Aber es gibt etwas, das mich mehr beunruhigt.
Was meinen Sie?
Es sind deutlich mehr Männer als Frauen, die schwer erkranken. Das ist eine extrem auffällige Beobachtung, wie man sie selten bei Erkrankungen sieht.
Woran könnte das liegen?
Darüber kann ich nur spekulieren. Aber das Phänomen dürfte in den kommenden Monaten sicher näher untersucht werden.
Woran sterben Menschen eigentlich, wenn sie schwer an Covid-19 erkrankt sind?
Werden die Patienten intensivmedizinisch behandelt und beatmet, ist weniger der Sauerstoffmangel das Problem. Es kann stattdessen vorkommen, dass eine zusätzliche Infektion mit Bakterien auftritt, die zu einer Sepsis führt und die wiederum zum Tod. Haben die Patienten schwerste Begleiterkrankungen, kann es auch zu einem Multiorganversagen kommen. Auch ein sogenannter Zytokinsturm (Anm.d.Red: Entgleisung des Immunsystems) wird von manchen Autoren im Moment diskutiert. Ich wäre in der Bewertung aktuell aber eher zurückhaltend.
Versagt die Lunge, können Patienten an ein sogenanntes Ecmo-Gerät angeschlossen werden. Dabei wird das Blut des Patienten außerhalb des Körpers mit Sauerstoff angereichert und gleichzeitig Kohlenstoffdioxid abgeführt. Wann kommt ein Patient an dieses spezielle Gerät?
Wir sollten mit dieser Therapie sehr restriktiv umgehen und sie wirklich nur in Einzelfällen anwenden, wenn anderweitig keine Besserung herbeizuführen ist. Man kann bei Covid-19 mit der herkömmlichen Beatmungstherapie viel erreichen, vor allem wenn sie vollständig ausgereizt wird. Dazu zählt auch, die Patienten auf dem Bauch schlafen zu lassen, um die Durchblutung der Lunge und den Gasaustausch zu erleichtern. Das bringt extrem viel, vielleicht sogar mehr als bei anderen Formen des schweren Lungenversagens. Damit kann man den Großteil der Patienten optimal versorgen.

Die Flüchtlinge in den griechischen Lagern brauchen dringend Unterstützung. Wir leiten Ihre Hilfe weiter.
Bitte spenden Sie an:
IBAN DE90 2007 0000 0469 9500 01
BIC DEUTDEHHXXX
Stichwort "Lesbos"; www.stiftungstern.de
Wie lange müssen Patienten bei Covid-19 beatmet werden?
Das unterscheidet sich stark von anderen Lungenkrankheiten. Wir haben bisher den Eindruck - und das deckt sich auch mit den Berichten aus Italien und China -, dass die Zeit, die Patienten an einem Beatmungsgerät verbringen müssen, doch relativ lang ist. In einigen Publikationen ist im Schnitt von etwa zwei bis drei Wochen die Rede. Wir haben festgestellt, dass selbst diese lange Zeitspanne bei einigen Patienten nicht ausreicht.
Das wirft eine weitere Frage auf: Werden unsere Beatmungskapazitäten reichen, wenn Patienten so lange behandelt werden müssen und die Betten nicht schnell genug wieder frei werden?
Das ist die große Frage, die sich aktuell alle stellen. Was sich seriös sagen lässt: Zum jetzigen Zeitpunkt und Stand heute haben wir genug Kapazitäten und können auch noch viele Patienten aufnehmen.
Was sich jederzeit ändern kann, wenn die Fallzahlen exponentiell steigen.
Die Zahl der Neuinfektionen sagt zunächst einmal wenig über die Situation in den Kliniken aus. Die wahre Belastung ist die Anzahl der Patienten, die auf der Intensivstation landet. Mit dem Intensivregister der Divi versuchen wir, diese Zahl deutschlandweit zu erfassen. Gleichzeitig wird ersichtlich, wo es noch freie Intensivkapazitäten gibt. Leider sind die Angaben der Kliniken nicht verpflichtend – das müsste sich meiner Meinung nach schnell ändern.