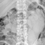
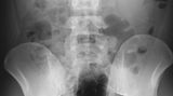
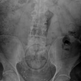
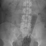
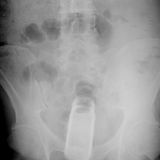
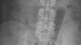
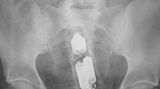
Diese Dinge gehören dort eigentlich nicht hin: Immer wieder passieren Unfälle, wenn Menschen sich zur sexuellen Stimulation über den After Gegenstände in den Darm einführen. Ob Orangen, Spraydosen oder Kaffeebüchsen - der Fantasie sind dabei offenbar keine Grenzen gesetzt.
Die Webseite radiopaedia.org zeigt, welche Dinge Ärzte auf Röntgenbildern schon entdeckt haben. Die Aufnahmen wirken skurril und erschreckend zugleich und machen deutlich, wie weit die eingeführten Dinge bereits in den mescnhlichen Darm vordringen können.
Aber Glück im Unglück für die Patienten: Die Gegenstände können meist ohne Operation entfernt werden. Sehen Sie hier einige der spektakulärsten Röntgenaufnahmen. Da runzeln selbst Chirurgen die Stirn.
