ARD-Dokumentation
Planet der Viren: "Da bekamen wir es mit der Angst zu tun"

Planet der Viren: Virusjäger befreien Fledermaus aus einem Netz
Unterwegs mit Virenjägern in Kambodscha: Infektiologen sind auf der Suche nach dem nächsten tödlichen Virus, das auf den Menschen überspringen könnte
© BROADVIEW PICTURES/Johannes Imda

Debattieren Sie mit!

  • Mit stern-Account aktiv an allen Debatten teilnehmen und kommentieren.
Jetzt registrieren
Das Ebola-Virus, Nipah und Sars-CoV-2 sind nicht zufällig aufgetaucht. Der Dokumentarfilm "Spillover" zeigt, wie gefährlich menschliche Eingriffe in die Natur sein können.

Da steht sie in ihrem hellblauen Schutzanzug, mitten in der Nacht in den Wäldern Kambodschas, und sucht nach dem nächsten tödlichen Erreger. Vorsichtig befreit die Infektiologin Jessica Manning ihre Beute – Fledermäuse. Sie haben sich bei ihrem Flug durch die Nacht in einem kaum sichtbaren Netz der Forscher verheddert. Mit Abstrichstäbchen nehmen sie jetzt behutsam Proben der kleinen Tiere. Für die Virenjäger ist es die Suche nach der Nadel im Heuhaufen. 

Forscher vermuten, dass es Tausende unentdeckte Viren gibt, die das Potenzial haben, Menschen zu infizieren. Jahrzehntelang leben sie unbemerkt in einem Wirtstier, einem Flughund vielleicht, einer Maus oder einem Marder. Bis zu diesem einen Moment, in dem sie plötzlich auf einen Menschen überspringen. Wissenschaftler nennen diesen Augenblick Spillover. Schon ein einziger könnte eine neue Pandemie auslösen. Doch wie kommt es dazu? Und warum nimmt die Taktung dieser gefährlichen Übertritte so dramatisch zu? 

"So wie andere Schweißausbrüche bekommen, haben die aus den Poren geblutet" 

Der Dokumentarfilm "Spillover – Planet der Viren" von Regisseur Michael Wech nimmt die Zuschauer mit auf eine fesselnde globale Zeitreise zu genau jenen Schauplätzen, an denen einige der gefährlichsten Viren den Sprung auf den Menschen geschafft haben. 

So wie im Sommer 1967, als die Behringwerke in Marburg für ihre Impfstoffherstellung hundert grüne Meerkatzen aus Afrika importierten. Es sollte eine Lieferung sein wie viele andere zuvor. Doch die Affen hatten sich vermutlich während des Transports bei anderen Tieren mit einem neuartigen Virus angesteckt. 29 Mitarbeiter in Marburg infizierten sich, sieben von ihnen starben.

Eine ehemalige Biologielaborantin erinnert sich an das grausame Geschehen: "So wie andere Schweißausbrüche bekommen, haben die aus den Poren geblutet." Als Zuschauer glaubt man sich fast in einem Spielfilm, doch was man sieht, ist keine Fiktion, sondern genauso passiert. 

Virusforscher Peter Piot
Der belgische Mikrobiologe und Arzt Peter Piot, bis 2021 Direktor der London School of Hygiene and Tropical Medicine, forscht u.a. zu Tropenmedizin und HIV. Während der Corona-Pandemie war er der wichtigste wissenschaftliche Berater der Präsidentin der EU-Kommission, Ursula von der Leyen. Neben Guido van der Groen ist er Mit-Entdecker des Ebola-Virus
© BROADVIEW Pictures

Ein neues, tödliches Virus

Keine zehn Jahre später sprang ein ähnlich tödliches Virus auf den Menschen über: "Es sah eher aus wie Spaghetti oder Würmer. Das einzig bekannte Virus, das so aussah, war das Marburg-Virus. Da bekamen wir es mit der Angst zu tun", erzählt der belgisch-britische Forscher Peter Piot, der das Virus zusammen mit Kollegen zum ersten Mal isolierte. Es war Ebola. 1993 dann tötete ein neuartiges Hanta-Virus im Reservat der Navajo Nation in New Mexico mehr als die Hälfte der Infizierten. Dem damals noch unbekannten Nipah-Virus fielen 1999 etwa hundert Menschen in Malaysia zum Opfer. Es folgten weitere Ausbrüche. Und Sars zeigte 2003, wozu ein Coronavirus fähig ist. Keine zwanzig Jahre später fielen einem weiteren Coronavirus sieben Millionen Menschen zum Opfer. 

Die Erinnerungen der beteiligten Forscher, ihre Suche nach dem Ursprung der fatalen Erreger und die Originalaufnahmen aus vergangenen Zeiten sind so spannend wie ein Krimi. Jedes Mal stellen sich die Forscher eine Frage: warum gerade jetzt? 

Die Antwort ist so einfach wie unbequem: weil wir es möglich machen. Regisseur Wechs Rekonstruktion der Ausbrüche – von Marburg bis Sars-CoV-2, seine Gespräche mit internationalen Experten und die Analyse der Forschung zeigen, ohne zu dramatisieren, dass Spillover nicht bloße Zufälle sind. 

Gefahr für Spillover steigt dramatisch

Wir verändern die Ökosysteme. Wir reißen die natürlichen Schutzmauern zu wilden Tieren ein und zu den Erregern, die in ihnen schlummern. Der Klimawandel etwa treibt Tausende Tierarten in neue Gebiete, in denen ihr Weg auch den der Menschen kreuzt. Für die Landwirtschaft werden gigantische Flächen an Wäldern abgeholzt. Auf der Suche nach Schutz und Nahrung dringen Wildtiere auch in unsere Lebensräume vor. 

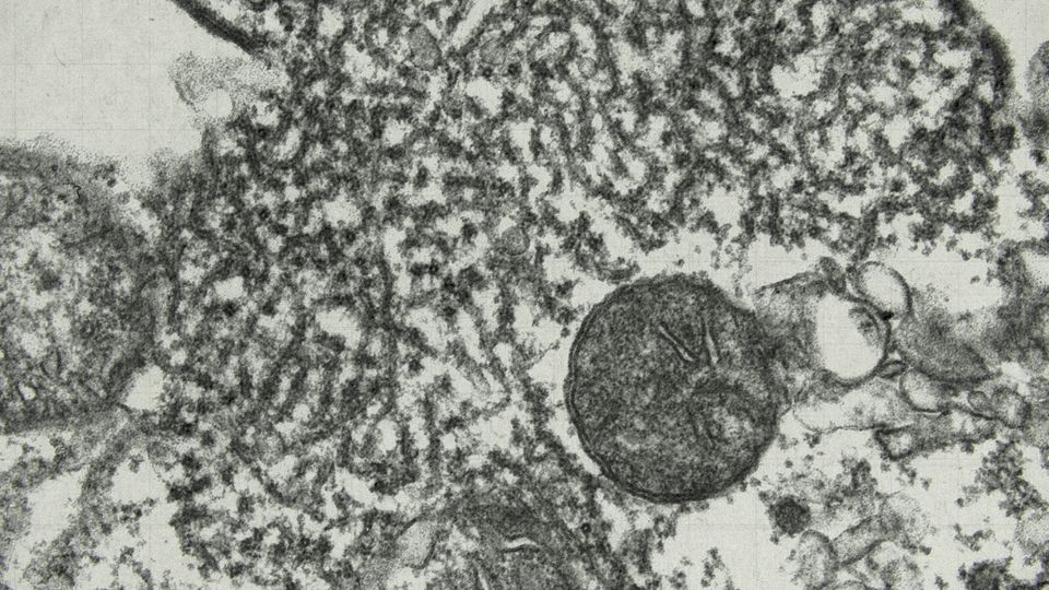
Das Nipah-Virus unter dem Mikroskop
Das Nipah-Virus unter dem Mikroskop
© CDC

So war es auch bei Nipah. Ende Februar 1999 starben eine Reihe junger Patienten, allesamt Schweinezüchter, an einer qualvollen Gehirnentzündung. Wieder war die Ursache ein neuartiges Virus. Wo aber kam es her? In "Spillover" erzählen malaysische Forscher, wie sie damals in detektivischer Arbeit eine beispielhafte Kettenreaktion aufdeckten, die zwei Jahre zuvor in dem von Dürre geplagten Indonesien begann. 1997 hatten außer Kontrolle geratene Brandrodungen mehrere Millionen Hektar Wald zerstört. Riesige Rauchschwaden lagen über Monate wie ein undurchdringlicher Schleier über weiten Teilen Südostasiens. Blüten und Früchte vieler Bäume waren eingegangen oder hatten sich nicht richtig entwickelt. Flughunde, die das Nipah-Virus in sich trugen, suchten daher auf Mangofarmen im benachbarten Malaysia nach Nahrung. Sie ließen ihre halb verzehrten Mahlzeiten fallen. Schweine verschlangen die Reste. Was dann passierte, ist Geschichte und bis heute eines der eindrücklichsten Beispiele dafür, welche Konsequenzen unsere Eingriffe in die Natur haben. 

Thema Virus: Der Epidemiologe Colin Carlson
Colin Carlson arbeitet als "Global Change Biologist" an der Yale Universität, wo er das Wissen aus Virologie, Ökologie und Klimawandel vereint, um Spillover-Phänomene aus einer zeitgemäßen Perspektive zu betrachten
© © BROADVIEW Pictures

So ist Wechs Film nicht nur eine fesselnde Dokumentation, sondern auch ein Weckruf. Sars-CoV-2, das vermutlich auf einem Wildtiermarkt auf einen Menschen überging, hat Millionen Todesopfer gefordert. Wenn wir weiterhin die Tierwelt ausbeuten und unsere Ökosysteme zerstören, müssen wir in den kommenden Jahren und Jahrzehnten mit einem Strom von Krankheiten rechnen, die von Tieren auf Menschen übertragen werden.

"Bis zum Jahr 2050 könnte es zwölfmal so viele Spillover geben wie heute", sagt der Global-Change-Biologe Colin Carlson von der Yale University an einem Punkt der Dokumentation. "Wenn man diesen Trend weiterverfolgt, wird sich das, was einem heute schnell vorkommt, lächerlich anfühlen im Vergleich zu dem, was wir zu erwarten haben."

Zu sehen ist der Dokumentarfilm von Regisseur Michael Wech, eine Produktion von BROADVIEW Pictures (Produzent: Leopold Hoesch), am 10. März um 20.15 Uhr im Ersten in einer 45-minütigen Fassung sowie online first in einer 90-minütigen "extended version" ab 5. März in der ARD Mediathek.

 

 

PRODUKTE & TIPPS

Kaufkosmos