Die Patientin fühlte sich in letzter Zeit fit und gesund. Wären da nur nicht diese Schmerzen in der linken Schulter. Wegen denen sucht die 44-jährige Frau einen Orthopäden in der schottischen Hauptstadt Edinburgh auf. Ihm erzählt sie außerdem, dass sie den Arm nicht mehr richtig bewegen kann. Die Symptome der Patientin sind an sich nicht ungewöhnlich. Sie können zum Beispiel auf Verspannungen oder eine Verletzung nach einem Sturz hindeuten.
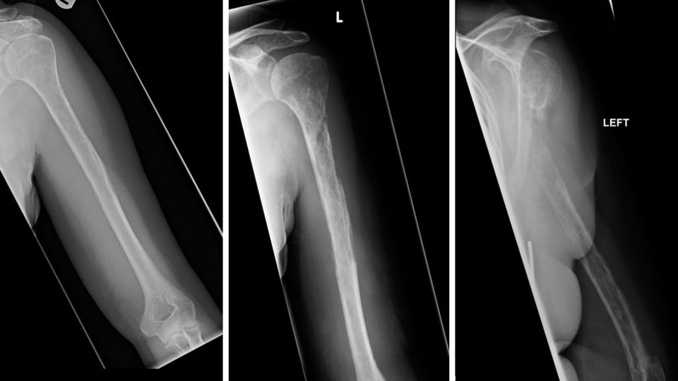
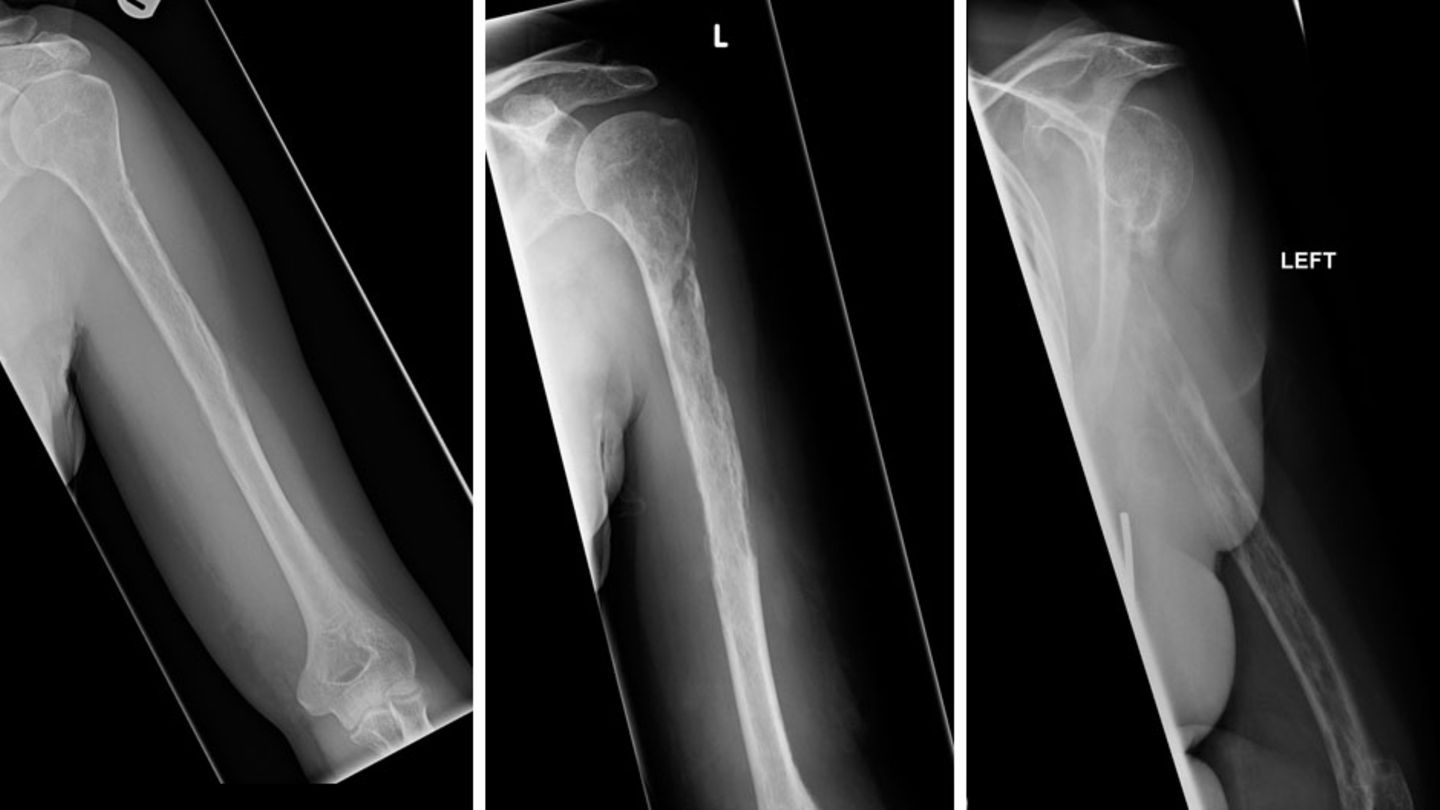
Der Mediziner untersucht die Frau und kann keine äußerlichen Verletzungen feststellen. Er lässt deshalb ein MRT des Schulterbereichs anfertigen. Als er die Bilder auswertet, fällt ihm eine kleine Stelle in Schulternähe auf: Der Oberarmknochen wirkt an dieser Stelle dünn und leicht ausgefranst.
Um auszuschließen, dass an dieser Stelle ein Tumor sitzt, entnimmt der Mediziner eine Gewebeprobe. Sie liefert jedoch keinen Hinweis auf eine Krebserkrankung. Auch die Auswertung einer zweiten Biopsie aus tieferen Gewebeschichten gibt Entwarnung: Im Bereich des Oberarmknochens sitzen keine Krebszellen. Doch warum wirkt der Knochen in diesem Bereich dann so merkwürdig zersetzt und brüchig?

Zwei Monate später wagen die Ärzte eine dritte Biopsie und finden Hinweise auf eine Knochenwulst. Eine solche Wulst entsteht häufig nach Knochenbrüchen. In dem betroffenen Gewebe scheinen außerdem Blutadern zu wachsen. Die Mediziner wagen eine erste, vorläufige Diagnose: Vermutlich hat sich die Frau bei einem zunächst harmlos erscheinenden Sturz den Oberarmknochen gebrochen. Eine Fehldiagnose, wie sich herausstellen soll.
Zwölf Monate nach dem ersten Arzttermin kommt die Frau wieder in die Praxis: Ihr Arm schmerzt weiterhin, außerdem ist er nun zusätzlich geschwollen. Als die Ärzte eine zweite Röntgenaufnahme anfertigen, sind sie verblüfft: Der Knochen ist im Begriff, sich aufzulösen und erscheint porös. Eine weitere Gewebeentnahme zeigt, dass Blut- und Lymphgefäße in den Knochen wuchern. Körpereigene Zellen - sogenannte Osteoklasten - scheinen das Knochengewebe zu attackieren und zu zersetzen. Die umliegenden Knochen erscheinen jedoch intakt.
Rätselhaftes Knochenleiden
Einen Monat später ergibt eine erneute Röntgenaufnahme, dass nun auch der Unterarm von dem Zerfall betroffen ist. Die Ärzte stellen daraufhin die richtige Diagnose: Die Frau leidet an der Gorham-Stout-Erkrankung (GSD). Das Krankheitsbild wurde erstmals 1954 beschrieben. Etwa 200 Fälle des seltenen Knochenabbaus sind seitdem bekannt geworden.
Die Gorham-Stout-Erkrankung beginnt meist in den Knochen des Schultergürtels, des Beckens oder des Kieferbereichs. Erkrankte Knochen zerfallen, gleichzeitig wuchern Blut- und Lymphgefäße in das Gewebe. Das Leiden äußert sich in der Regel durch Schmerzen, Schwellungen oder Brüche. Der Auslöser der Krankheit ist bis heute unbekannt. Es existiert kein etabliertes Therapieverfahren. Allerdings gibt es Therapieansätze, etwa eine Strahlentherapie oder die Gabe von Vitamin D.
Die Krankheit kann weiter voranschreiten und dazu führen, dass sich der komplette Knochen auflöst. Bei schweren Verläufen breitet sich das Leiden auf die Wirbelsäule aus - mit potenziell tödlichen Verläufen. Es wurden aber auch schon Fälle beobachtet, bei denen die Krankheit spontan zum Stillstand kam.
Im Fachblatt "BMJ Case Reports" geben die Ärzte keine Prognose über den weiteren Verlauf der Krankheit bei der 44-jährigen Patientin. Dies dürfte auch schwer fallen bei einer Krankheit, über die so wenig bekannt ist.
