• Entdecken Sie stern+
    • GEO
    • Capital
    • Crime
  • Medien
    • Audio
    • Video
  • RESSORTS
    • Gesellschaft
      • Klima & Nachhaltigkeit
      • Alle stern-Faktenchecks im Überblick
      • Regionales
      • Archiv
    • Politik
      • Deutschland
      • Ausland
        • Krieg in Nahost
        • US-Wahl 2024: News und Infos zur Präsidentschaftswahl
      • Archiv
    • Panorama
      • Weltgeschehen
      • Verbrechen
      • stern Crime
      • Wetter
      • Archiv
      • Noch Fragen: Die Wissenscommunity vom stern
    • Gesundheit
      • Anzeige
        Longevity-Diät
      • Allergie
      • Diabetes
      • Erkältung
      • Ernährung
      • Fitness
      • Haut
      • Kinderkrankheiten
      • Kopfschmerz
      • Psychologie
      • Rücken
      • Schlaf
      • Sexualität
      • Zähne
      • Archiv
    • Kultur
      • Hörbuch-Tipps
      • Film
      • Musik
      • Bücher
      • TV
      • Kunst
      • Archiv
    • Lifestyle
      • Anzeige
        Dienstrad als Gehaltsbonus
      • Leute
      • Mode
      • Liebe und Sex
      • Leben
      • Neon
      • Gewinnspiele
      • Archiv
    • Digital
      • Computer
      • Online
      • Smartphones
      • Games
      • Technik
      • Tests
      • Home Entertainment
      • Archiv
    • Wirtschaft
      • News
      • Geld
      • Versicherung
      • Immobilien
      • Job
      • Produkte & Tipps
      • Archiv
      • präsentiert von: Homeday
        Immobilienbewertung kostenlos
    • Sport
      • Fußball
      • Formel 1
      • Sportwelt
      • Archiv
    • Genuss
      • Rezepte
        • Rezepte aus dem stern
      • Essen
      • Trinken
      • Trends
      • Anzeige
        Genussreisen
      • Archiv
    • Reise
      • präsentiert von Norwegian Cruise Lines
        Sehnsuchtsziele 2026
      • Deutschland
      • Europa
      • Fernreisen
      • Service
      • Archiv
    • Familie
      • Kinder
        • Vom Kita- bis zum Schulalter: Diese Ideen helfen Kindern beim Lernen und Großwerden
      • Beziehung
      • Tiere
      • Anzeige
        Familienreisen
      • Archiv
      • Schädlinge, Unkraut, Gemüseernte & Co.: Alles, was Sie bei der Gartenpflege beachten sollten
    • Auto
      • Autonews
      • Fahrberichte
      • Service
        • Sicherheit
      • E-Mobilität
      • Archiv
    • Kaufkosmos
      • Deals
      • Empfehlungen der Redaktion
      • Geschenkideen
  • Formate
    • stern-Gespräche
    • Vor-Ort-Reportagen
  • Services
    • Newsletter
    • stern-Studien
    • Aboshop
    • Kundenservice & FAQs
    • Spiele
      • Solitär
      • Sudoku
      • Exchange
      • Bubble Shooter
      • Mahjong
      • Snake
  • Unsere sozialen Netzwerke
    • Facebook
    • Instagram
    • TikTok
    • X
    • Whatsapp
    • YouTube
Zum Inhalt springen
Abo testen Login
  • News
  • Extras
  • Iran
  • Femizid-Recherche
  • Braune Kinderzimmer
  • stern+
  • GEO
  • Capital
  • stern Crime
  • Gesellschaft
  • Politik
  • Panorama
  • Gesundheit
  • Lifestyle
  • Kultur
  • Sport
  • Reise
  • Genuss
  • Familie
  • Digital
  • Wirtschaft
  • Auto
  • Kaufkosmos
  • Stiftung stern
  • Gesundheit
  • Unerkannt und oft tödlich - super seltene Tumore

Unerkannt und oft tödlich
Diese Krebserkrankungen sind selten und werden oft zufällig entdeckt

  • 17. Februar 2026
  • 13:35 Uhr
Grafik eines Herzens
Krebs im Herzen – wenn das unteilbare Organ entartet
Primäre maligne Herztumoren gehören zu den seltensten Krebsarten überhaupt. Meist handelt es sich um aggressive Sarkome, die direkt aus Herzmuskel oder Herzinnenhaut entstehen. Symptome wie Atemnot, Brustschmerzen oder Herzrhythmusstörungen wirken zunächst wie harmlose Herzerkrankungen und verzögern die Diagnose. Oft wird der Tumor erst in einem fortgeschrittenen Stadium entdeckt. Der biologische Grund für die extreme Seltenheit liegt in der Natur des Herzens selbst: Herzmuskelzellen teilen sich kaum noch. Ohne Zellteilung entstehen nur selten genetische Fehler – und damit kaum Krebs.
© Yuichiro Chino / Getty Images
Zurück Weiter
Grafik eines Herzens
Röntgenaufnahme eines Penis mit Peniskrebs
Grafik der Schilddrüse und des Halsbereiches eines Menschen
einem jungen Mann wird der Bauch abgetastet
Wenn Blutgefäße entarten – das epitheloide Hämangioendotheliom  Das epitheloide Hämangioendotheliom ist ein rätselhafter Gefäßtumor, der Leber, Lunge oder Knochen betreffen kann. Lange bleibt er symptomlos, später treten Schmerzen oder Atemnot auf. Manche Verläufe sind harmlos, andere hochaggressiv. Seine Seltenheit erklärt sich durch die Stabilität der Ursprungszellen: Endothelzellen besitzen starke Reparaturmechanismen und teilen sich wenig. Nur sehr spezifische genetische Veränderungen können diese Schutzmechanismen überwinden – ein biologischer Zufall von extremer Unwahrscheinlichkeit.
Grafik der menschlichen Leber
Nahaufnahme der menschlichen Haut
Krebs im Auge – das Aderhautmelanom  Augenkrebs ist insgesamt selten, das Aderhautmelanom die häufigste, aber dennoch extrem seltene bösartige Form. Der Tumor entsteht aus Pigmentzellen in der Aderhaut des Auges und bleibt lange unbemerkt. Frühe Symptome fehlen häufig, später können Sehstörungen, Schatten im Gesichtsfeld oder Lichtblitze auftreten. Der biologische Grund für die Seltenheit liegt in der Anatomie des Auges: Die Zahl der Melanozyten ist gering, ihre Teilungsrate niedrig. Zudem ist das Auge ein sogenanntes immunprivilegiertes Organ mit besonderen Schutzmechanismen. All das macht bösartige Entartungen selten – aber diagnostisch besonders tückisch.  Das Bild zeigt einen Mann bei der Protonentherapie an der Berliner Charité. Diese hochpräzise, augenerhaltende Behandlungsmethode für Aderhautmelanome ermöglicht die gezielte Zerstörung des Tumors bei hoher Schonung des umliegenden Gewebes und des Sehnervs. 
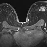
MRT Aufnahme einer Brust mit Brustkrebs
MRT Aufnahmen eins Kopfes mit Hrintumor
Krebs kann jeden treffen, in jedem Alter und manchmal an ungewöhnlichen Stellen. Rund 30 Prozent aller Krebsarten gelten als sehr selten. Diese hier zum Beispiel.

Obwohl es zig verschiedenen Krebsarten gibt dominieren vier Tumorarten das Krebsgeschehen in Deutschland: Prostatakrebs, Brustkrebs sowie Lungen- und Darmkrebs. In Zahlen ausgedrückt waren es 2023: 79.600 Prostatafälle, 75.900 Brustkrebspatientinnen, 58.300 Lungenkrebsfälle und 55.300 Darmkrebsdiagnosen. 

Die Forschung und die Vorsorge konzentrieren sich daher auf diese Krebsarten. Damit steigt die Chance auf eine frühe Erkennung und erfolgreichere Behandlung durch die vorhandene Erfahrung. Manche Menschen erwischt ein so seltenes Karzinom, dass es womöglich nicht richtig oder zu spät diagnostiziert wird. Manche werden zufällig beim CT entdeckt, andere erst bei der Autopsie nach dem Tod. Einigen hilft der Zufall, wie dem kleinen Jungen Gaston aus Süddeutschland, wie die Deutsche Krebshilfe berichtet.

Gaston wollte selbst im Alter von einem Jahr weder weder krabbeln, stehen noch sprechen lernen. Zudem bemerkten seine Eltern auffällige Flecken auf seiner Haut. Eine befreundete Ärztin riet zur genetischen Untersuchung im Behandlungs- und Forschungszentrum für Seltene Erkrankungen am Universitätsklinikum Tübingen. Wie sich herausstellte leidet Gaston unter Neurofibromatose, einer sehr seltenen genetischen Erkrankung. Symptome sind Hautflecken und Tumore im Nervengewebe. Bei Gaston wuchs ein Tumor bereits von der Niere in die Wirbelsäule und hinunter zum Knie, was seine verzögerte Entwicklung erklärte. 

Zufällig führte die Uniklinik zu dieser Zeit eine Studie mit einem neuen Medikament durch, das die Behandlung von Kindern mit Neurofibromatose zu verbessern versprach. Gaston konnte an der Studie teilnehmen und machte nach kurzer Zeit motorisch und sprachlich große Fortschritte. Das ist inzwischen vier Jahre her. Heute springt Gaston wie jedes andere Kind durch die Gegend. Auch der Längenunterschied seiner Beine hat sich verringert.

lue
  • Krebs
  • Krebsvorsorge
  • Hirntumor
  • Hautkrebs
  • Penis
  • Brustkrebs

PRODUKTE & TIPPS

  • Schnarchen stoppen
  • Kollagen Pulver
  • Aufbissschiene reinigen
  • Laufband Schreibtisch
  • Augenpads
  • Haltungstrainer
  • Gesichtsmassagegerät
  • Wärmegürtel
26. März 2026,06:51
Die Augenbraue einer Frau ist mit weißen Linien umrahmt.

Ausdruck und Ästhetik In Topform: Darauf sollten Sie beim Styling der Augenbrauen achten

Kaufkosmos

  • Siebträgermaschine Test
  • Akku-Staubsauger Test
  • In-Ear-Kopfhörer Test
  • Küchenmaschine Test
  • Heizlüfter Test
  • Dampfbügeleisen Test
  • Körperfettwaage Test
  • Dashcam Test

Mehr zum Thema

14. Februar 2026,12:32
12 Bilder
Ein Mann sitzt in einem Vorsorgegespräch beim Arzt

Gender-Krebs-Gap Männer haben beim Krebs die deutlich schlechteren Karten

9 Bilder
Prostata, Darmkrebs, Bauchschlagader: Die leicht zu verstehende Checkliste für den Vorsorgemuffel Mann

Prostata, Darmkrebs, Bauchschlagader Die leicht zu verstehende Checkliste für den Vorsorgemuffel Mann

15. Februar 2026,13:22
8 Bilder
Diagnose Krebs. Oft ist der Tumor heilbar.

Das rät ein ehemaliger Krebspatient Diagnose Krebs - Was Sie jetzt tun sollten und was nicht

21. März 2026,08:55
Thema Trauer: Montage mit der Kolumnistin Helen Bömelburg

Kolumne: Gefühl der Woche „Mama, lebt Ulrich noch?“

17. März 2026,09:37
Illustration eines Chromosoms mit sich auflösenden Telomeren

Telomerase-Hemmer Wie Tumore ihre Unsterblichkeit verlieren sollen

geo
20. Februar 2026,05:10
Bestseller Fischöl-Kapseln: Die darin enthaltenen Omega-3-Fettsäuren sind in geringer Dosis gesund, große Mengen davon aber sind gefährlich. Ähnliches gilt für diverse Vitamine (Symbolbild)

Nahrungsergänzungsmittel Helfen Vitamine bei Long Covid, MS und Krebs – oder machen sie krank?

11. Februar 2026,23:20
James Van Der Beek

Nachruf Der ewige Dawson

10. Februar 2026,18:14
20 Bilder
Sylvie Meis, Ben Stiller und Cynthia Nixon besiegten den Krebs

Von Sonya Kraus bis Ben Stiller Diese Promis machen an Krebs Erkrankten Mut

04. Februar 2026,10:28
Symbolbild Gebärmutterhalskrebs: Eine Frau sitzt nachdenklich vor ihrem Kaffee auf der Terrasse

Krebserkrankung Diagnose Gebärmutterhalskrebs: "Ich weinte. Vor allem um unseren Kinderwunsch"

Wissenscommunity

Neueste Fragen
  • Wo sind die Bücher und CD - Listen geblieben ?
  • Soll ich Sandalen barfuß tragen ?
  • Kann ich einen 2018 neu gekauften Kaminofen auch nach 2024 noch nutzen?
  • Haben günstige Klamotten schlechte Qualität? Oder sind Marken einfach zu teuer?
  • Gibt es in Deutschland Shops von Victoria's Secret, in denen ich das gleiche Sortiment wie in den USA bekomme?
  • Wie viele Kleider oder Anzüge habt ihr?
  • Schuhe in Maßanfertigung
  • Dürfen Privarpersonen in Deutschland und Europa Militärkleidung tragen?
  • Wie schädlich für die Haare ist eine Blondierung wirklich? Ich würde es so gern ausprobieren, habe aber Angst meinen Haaren zu schaden.
  • Die Sohlen meiner Ballerina Schuhe sind ziemlich abgelaufen. Rechnet es sich, die neu besohlen zu lassen? Kaufwert lag bei 55 €.
  • Eine Freundin hat versehentlich Wachsflecken auf meine Baumwolljacke gemacht. Habt ihr Tipps, wie ich die wieder entfernen kann?
  • Wie lange kann man erfahrungsgemäß eine Daunenjacke tragen, bis die Federchen hin sind und sie nicht mehr wärmt? Einen Winter, oder länger?
Meist beantwortete Fragen
  • Wie nehme ich 50 kg in 6 Wochen ab
  • hat der Frieden in Osteuropa noch eine Chance?
  • Kein Wasserhahn in der Küche

Newsticker

26. März 2026 | 06:51 Uhr

Augenbrauen formen: So verleihen Sie Ihrem Gesicht mehr Ausdruck

25. März 2026 | 09:35 Uhr

Geldspritze für Ärzte und Apotheker? Nicht in meinem Namen (Meinung)

25. März 2026 | 08:21 Uhr

Kollagenpulver: Das sind mögliche Vorteile für Haut und Gelenke

25. März 2026 | 08:21 Uhr

Dünnes Haar: Diese Ursachen und Behandlungsmöglichkeiten gibt es

25. März 2026 | 05:53 Uhr

Motivation: Wie ich gelernt habe, beim Sport dranzubleiben

25. März 2026 | 05:53 Uhr

Muskelkater: Fünf Tipps, um die Schmerzen loszuwerden

25. März 2026 | 05:52 Uhr

Die Fitness-Formel der Formel 1 – extreme Leistung, perfekter Plan

24. März 2026 | 21:41 Uhr

Lust der Mütter – darauf können Sie achten, um sie zu erhalten

24. März 2026 | 16:16 Uhr

Heuschnupfen: Deshalb leiden Millionen Deutsche daran

24. März 2026 | 13:12 Uhr

Tödliche Gifte: Vorsicht vor diesen Waffen der Natur

Inhalte im Überblick

Service
  • Die Newsletter von stern.de
  • Die RSS-Feeds von stern.de
  • Aktuelle Nachrichten
  • Archiv
  • Wissenscommunity
  • Themenübersicht
  • Sitemap
  • stern aktuelle Ausgabe
  • Weitere stern Hefte
  • Sonderausgaben
  • stern+
  • stern Crime
  • Browser-Benachrichtigungen
Ratgeber
  • Altersvorsorge
  • Australien
  • China
  • Eigenheim
  • Energiesparen
  • Erbe
  • Geldanlage
  • Krankenkasse
  • Miete
  • New York
  • Südafrika
  • Urlaub
  • Versicherung
  • Gehaltsrechner
  • Solitär (Anzeige)
Gesundheit
  • Allergie
  • Diabetes
  • Erkältung
  • Haut
  • Fitness
  • Kinderkrankheiten
  • Kopfschmerz
  • Rücken
  • Schlaf
  • Sexualität
  • Zähne
Top-Themen
  • Ernährung
  • Schnell abnehmen
  • Virus
  • Hausmittel
  • Corona
  • Depression
  • Burnout
  • Persönlichkeit
  • Diagnose
  • Impressum
  • Barrierefreiheitserklärung
  • Redaktionelle Richtlinien
  • AGB
  • Datenschutzhinweise
  • Utiq verwalten
  • Netiquette
  • Verträge hier kündigen
  • Werbung
  • Datenschutz-Einstellungen
  • Kontakt
  • Browserbenachrichtigungen

© G+J Medien GmbH

Stern plus

Zugang zu stern+
statt 11,96 € nur 1 €

  • Alles von stern+ mit erstklassigen Inhalten von GEO und Capital
  • 4 Wochen testen, dann 2,99 € je Woche
  • jederzeit kündbar
Jetzt testen

Bereits registriert? Hier anmelden