• Entdecken Sie stern+
    • GEO
    • Capital
    • Crime
  • Medien
    • Audio
    • Video
  • RESSORTS
    • Gesellschaft
      • Klima & Nachhaltigkeit
      • Alle stern-Faktenchecks im Überblick
      • Regionales
      • Archiv
    • Politik
      • Deutschland
      • Ausland
        • Krieg in Nahost
        • US-Wahl 2024: News und Infos zur Präsidentschaftswahl
      • Archiv
    • Panorama
      • Weltgeschehen
      • Verbrechen
      • stern Crime
      • Wetter
      • Archiv
      • Noch Fragen: Die Wissenscommunity vom stern
    • Gesundheit
      • Anzeige
        Longevity-Diät
      • Allergie
      • Diabetes
      • Erkältung
      • Ernährung
      • Fitness
      • Haut
      • Kinderkrankheiten
      • Kopfschmerz
      • Psychologie
      • Rücken
      • Schlaf
      • Sexualität
      • Zähne
      • Archiv
    • Kultur
      • Hörbuch-Tipps
      • Film
      • Musik
      • Bücher
      • TV
      • Kunst
      • Archiv
    • Lifestyle
      • präsentiert von Sparkasse
        Freundschaft? Unbezahlbar!
      • Anzeige
        Mehr Flow im Alltag
      • Anzeige
        Dienstrad als Gehaltsbonus
      • Leute
      • Mode
      • Liebe und Sex
      • Leben
      • Neon
      • Gewinnspiele
      • Archiv
    • Digital
      • Computer
      • Online
      • Smartphones
      • Games
      • Technik
      • Tests
      • Home Entertainment
      • Archiv
    • Wirtschaft
      • News
      • Geld
      • Versicherung
      • Immobilien
      • Job
      • Produkte & Tipps
      • Archiv
      • präsentiert von: Homeday
        Immobilienbewertung kostenlos
    • Sport
      • Fußball
      • Formel 1
      • Sportwelt
      • Archiv
    • Genuss
      • Rezepte
        • Rezepte aus dem stern
      • Essen
      • Trinken
      • Trends
      • Anzeige
        Genussreisen
      • Archiv
    • Reise
      • Deutschland
      • Europa
      • Fernreisen
      • Service
      • Archiv
    • Familie
      • Kinder
        • Vom Kita- bis zum Schulalter: Diese Ideen helfen Kindern beim Lernen und Großwerden
      • Beziehung
      • Tiere
      • Anzeige
        Familienreisen
      • Archiv
      • Schädlinge, Unkraut, Gemüseernte & Co.: Alles, was Sie bei der Gartenpflege beachten sollten
    • Auto
      • Autonews
      • Fahrberichte
      • Service
        • Sicherheit
      • E-Mobilität
      • Archiv
    • Kaufkosmos
      • Deals
      • Empfehlungen der Redaktion
      • Geschenkideen
  • Formate
    • stern-Gespräche
    • Vor-Ort-Reportagen
  • Services
    • Newsletter
    • stern-Studien
    • Aboshop
    • Kundenservice & FAQs
    • Spiele
      • Solitär
      • Sudoku
      • Exchange
      • Bubble Shooter
      • Mahjong
      • Snake
  • Unsere sozialen Netzwerke
    • Facebook
    • Instagram
    • TikTok
    • X
    • Whatsapp
    • YouTube
Zum Inhalt springen
Abo testen Login
  • News
  • Extras
  • Fall Fabian
  • Iran
  • Markus Lanz
  • stern+
  • GEO
  • Capital
  • stern Crime
  • Gesellschaft
  • Politik
  • Panorama
  • Gesundheit
  • Lifestyle
  • Kultur
  • Sport
  • Reise
  • Genuss
  • Familie
  • Digital
  • Wirtschaft
  • Auto
  • Kaufkosmos
  • Stiftung stern
  • Gesundheit
  • Unerkannt und oft tödlich - super seltene Tumore

Zum Artikel Unerkannt und oft tödlich - super seltene Tumore
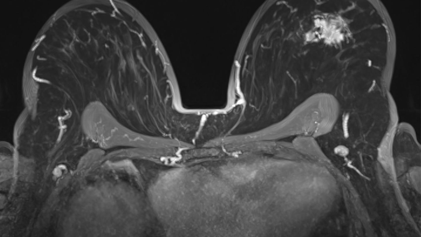
MRT Aufnahme einer Brust mit Brustkrebs
Kein klassischer Brustkrebs – der maligne Phyllodes-Tumor
Der maligne Phyllodes-Tumor entsteht im Bindegewebe der Brust und wächst oft rasch, aber schmerzlos. Rückfälle sind häufig, Metastasen möglich. Seine Seltenheit erklärt sich aus dem Zelltyp: Stromale Bindegewebszellen teilen sich deutlich seltener als Drüsenzellen und reagieren kaum auf Hormone. Damit fehlt ein zentraler Wachstumstreiber vieler Brustkrebserkrankungen – ein wirksamer biologischer Schutz vor Entartung.
© Paul Biris / Getty Images
Zurück Weiter
Grafik eines Herzens
Röntgenaufnahme eines Penis mit Peniskrebs
Grafik der Schilddrüse und des Halsbereiches eines Menschen
einem jungen Mann wird der Bauch abgetastet
Wenn Blutgefäße entarten – das epitheloide Hämangioendotheliom  Das epitheloide Hämangioendotheliom ist ein rätselhafter Gefäßtumor, der Leber, Lunge oder Knochen betreffen kann. Lange bleibt er symptomlos, später treten Schmerzen oder Atemnot auf. Manche Verläufe sind harmlos, andere hochaggressiv. Seine Seltenheit erklärt sich durch die Stabilität der Ursprungszellen: Endothelzellen besitzen starke Reparaturmechanismen und teilen sich wenig. Nur sehr spezifische genetische Veränderungen können diese Schutzmechanismen überwinden – ein biologischer Zufall von extremer Unwahrscheinlichkeit.
Grafik der menschlichen Leber
Nahaufnahme der menschlichen Haut
Krebs im Auge – das Aderhautmelanom  Augenkrebs ist insgesamt selten, das Aderhautmelanom die häufigste, aber dennoch extrem seltene bösartige Form. Der Tumor entsteht aus Pigmentzellen in der Aderhaut des Auges und bleibt lange unbemerkt. Frühe Symptome fehlen häufig, später können Sehstörungen, Schatten im Gesichtsfeld oder Lichtblitze auftreten. Der biologische Grund für die Seltenheit liegt in der Anatomie des Auges: Die Zahl der Melanozyten ist gering, ihre Teilungsrate niedrig. Zudem ist das Auge ein sogenanntes immunprivilegiertes Organ mit besonderen Schutzmechanismen. All das macht bösartige Entartungen selten – aber diagnostisch besonders tückisch.  Das Bild zeigt einen Mann bei der Protonentherapie an der Berliner Charité. Diese hochpräzise, augenerhaltende Behandlungsmethode für Aderhautmelanome ermöglicht die gezielte Zerstörung des Tumors bei hoher Schonung des umliegenden Gewebes und des Sehnervs. 
MRT Aufnahme einer Brust mit Brustkrebs
MRT Aufnahmen eins Kopfes mit Hrintumor

Debattieren Sie mit!

  • Mit stern-Account aktiv an allen Debatten teilnehmen und kommentieren.
Jetzt registrieren

Bereits registriert? Hier anmelden

  • Krebs
  • Krebsvorsorge
  • Hirntumor
  • Hautkrebs
  • Penis
  • Brustkrebs

PRODUKTE & TIPPS

  • Schnarchen stoppen
  • Kollagen Pulver
  • Aufbissschiene reinigen
  • Laufband Schreibtisch
  • Augenpads
  • Haltungstrainer
  • Gesichtsmassagegerät
  • Wärmegürtel
05. Mai 2026,16:31
Patientin Errestine-Abigail Drude und Klinikumsmitarbeiterin Lena Bauermeister beim Lungenfunktionstest

Atemnot Wie moderne Asthma-Therapien das Leben von Betroffenen verbessern

Kaufkosmos

  • Munddusche Test
  • Schallzahnbürste Test
  • Körperfettwaage Test
  • Nackenkissen Test
  • Luftentfeuchter Test
  • Tageslichtlampe Test
  • Heizdecke Test
  • Periodenunterwäsche Test
  • Lichtwecker Test
  • Hygrometer Test
  • Yogamatte Test
  • Luftbefeuchter Test
  • Vibrationsplatte Test
  • Duschkopf Test
  • Luftreiniger Test
  • Massagepistole Test
  • Küchenwaage Test
  • Heizlüfter Test
  • Fenstersauger Test
  • Dampfreiniger Test

Mehr zum Thema

14. Februar 2026,12:32
12 Bilder
Ein Mann sitzt in einem Vorsorgegespräch beim Arzt

Gender-Krebs-Gap Männer haben beim Krebs die deutlich schlechteren Karten

9 Bilder
Prostata, Darmkrebs, Bauchschlagader: Die leicht zu verstehende Checkliste für den Vorsorgemuffel Mann

Prostata, Darmkrebs, Bauchschlagader Die leicht zu verstehende Checkliste für den Vorsorgemuffel Mann

15. Februar 2026,13:22
8 Bilder
Diagnose Krebs. Oft ist der Tumor heilbar.

Das rät ein ehemaliger Krebspatient Diagnose Krebs - Was Sie jetzt tun sollten und was nicht

22. April 2026,15:20
Ein in Plastik eingeschweißtest Modell eines Gehirns

Kontroverse Forschende finden Mikroplastik um Gehirntumore. Was bedeutet das?

geo
16. April 2026,15:39
41 Sek.
Emotionales Krebsupdate: Patrice Aminati unter Tränen: „Ich vertrage die Therapie nicht gut”

Emotionales Krebsupdate Patrice Aminati unter Tränen: „Ich vertrage die Therapie nicht gut”

08. April 2026,12:49
Eine krebskranke Mutter wird von ihrer Tochter umarmt

Forschung Das Märchen von der „Krebspersönlichkeit“

21. März 2026,08:55
Thema Trauer: Montage mit der Kolumnistin Helen Bömelburg

Kolumne: Gefühl der Woche „Mama, lebt Ulrich noch?“

17. März 2026,09:37
Illustration eines Chromosoms mit sich auflösenden Telomeren

Telomerase-Hemmer Wie Tumore ihre Unsterblichkeit verlieren sollen

geo
20. Februar 2026,05:10
Bestseller Fischöl-Kapseln: Die darin enthaltenen Omega-3-Fettsäuren sind in geringer Dosis gesund, große Mengen davon aber sind gefährlich. Ähnliches gilt für diverse Vitamine (Symbolbild)

Nahrungsergänzungsmittel Helfen Vitamine bei Long Covid, MS und Krebs – oder machen sie krank?

Wissenscommunity

Neueste Fragen
  • Wie nehme ich 50 kg in 6 Wochen ab
  • Kein Wasserhahn in der Küche
  • hat der Frieden in Osteuropa noch eine Chance?
  • wie kann man sich bei check24 ausloggen am pc
  • Jalousieband austauschen
  • Ich habe einen Fortnite Account gekauft bei CaveSkins
  • Hallo ich bin aus Schwedt und bin dort obdachlos gemeldet kann ich trotzdem in die Türkei reisen
  • Ich will in zwei Monaten 10 kg abnehmen kann mir jemand etwas vorschlagen
  • Muss man parkdepot zahlen
  • Kreuzweise, stern
  • Wie schneide ich einen Bananenbaum im Kübel, und wohin im Winter ?
  • Bürgerbeteiligung allgemein
Meist beantwortete Fragen
  • Wie nehme ich 50 kg in 6 Wochen ab

Newsticker

05. Mai 2026 | 16:31 Uhr

Neue Asthma-Therapien: So verbessern sie das Leben von Betroffenen

05. Mai 2026 | 07:34 Uhr

Biotin Shampoo: Sorgt das Wundermittel für mehr Haarwuchs?

05. Mai 2026 | 07:31 Uhr

Hilfe bei Insektenstichen: So lindern Sie den quälenden Juckreiz

05. Mai 2026 | 03:57 Uhr

Für unser Essen: So verseucht Lachszucht die Fjorde in Norwegen

04. Mai 2026 | 19:04 Uhr

Abnehmen im Alter: So verlor ich in kurzer Zeit 20 Kilo

04. Mai 2026 | 18:46 Uhr

Eckart von Hirschhausen: Wie man sich gegen Deepfakes wehren kann

04. Mai 2026 | 16:24 Uhr

Arzt auf Kreuzfahrtschiff: „Hantavirus ist mir noch nie untergekommen“

04. Mai 2026 | 11:04 Uhr

Gefährliches Hantavirus: Warum man bei der Gartenarbeit aufpassen muss

04. Mai 2026 | 10:15 Uhr

Oft verschwindet Karies von selbst – wenn man das Richtige tut

04. Mai 2026 | 08:05 Uhr

Kreppeisen Haare: Dieses Produkt brauchen Sie für den "Mermaid Look"

Inhalte im Überblick

Service
  • Die Newsletter von stern.de
  • Die RSS-Feeds von stern.de
  • Aktuelle Nachrichten
  • Archiv
  • Wissenscommunity
  • Themenübersicht
  • Sitemap
  • stern aktuelle Ausgabe
  • Weitere stern Hefte
  • Sonderausgaben
  • stern+
  • stern Crime
  • Browser-Benachrichtigungen
Ratgeber
  • Altersvorsorge
  • Australien
  • China
  • Eigenheim
  • Energiesparen
  • Erbe
  • Geldanlage
  • Krankenkasse
  • Miete
  • New York
  • Südafrika
  • Urlaub
  • Versicherung
  • Gehaltsrechner
  • Solitär (Anzeige)
Gesundheit
  • Allergie
  • Diabetes
  • Erkältung
  • Haut
  • Fitness
  • Kinderkrankheiten
  • Kopfschmerz
  • Rücken
  • Schlaf
  • Sexualität
  • Zähne
Top-Themen
  • Ernährung
  • Schnell abnehmen
  • Virus
  • Hausmittel
  • Corona
  • Depression
  • Burnout
  • Persönlichkeit
  • Diagnose
  • Impressum
  • Barrierefreiheitserklärung
  • Redaktionelle Richtlinien
  • AGB
  • Datenschutzhinweise
  • Utiq verwalten
  • Netiquette
  • Verträge hier kündigen
  • Werbung
  • Datenschutz-Einstellungen
  • Kontakt
  • Browserbenachrichtigungen

© G+J Medien GmbH

Stern plus

Zugang zu stern+
statt 11,96 € nur 1 €

  • Alles von stern+ mit erstklassigen Inhalten von GEO und Capital
  • 4 Wochen testen, dann 2,99 € je Woche
  • jederzeit kündbar
Jetzt testen

Bereits registriert? Hier anmelden