Wo bitte geht es zur Tuberkulose-Ambulanz? Als Antwort gibt es einen fragenden Blick am Info-Schalter im Berliner Vivantes-Klinikum Neukölln. "Haben wir so was?" Chefarzt Pankow? "Den haben wir. Haupthalle - und dann hinterm Friseur rechts." Es ist eine typische Reaktion. Tuberkulose (TBC) ist in Deutschland fast aus dem Bewusstsein verschwunden. Doch weltweit zählt die Infektionskrankheit neben HIV und Malaria noch immer zu den größten Killern der Menschheit. Durch Migration, Armut, Obdachlosigkeit und Drogensucht spielt sie auch in deutschen Kliniken eine Rolle - Tendenz steigend.
Im Jahr 2016 zählte das Berliner Robert Koch-Institut (RKI) bundesweit 5915 Erkrankungen, 63 mehr als im Vorjahr. Damit hält sich das höhere Niveau der vergangenen vier Jahre. Für Deutschland ist das eine neue Entwicklung. Nach dem Zweiten Weltkrieg war TBC als typische Armutserkrankung in Industrieländern kontinuierlich zurückgegangen. Die Erinnerung an die "Schwindsucht", die wie in Thomas Manns "Zauberberg" Eingang in die Literatur fand, verlor sich langsam. 2012 gab es mit rund 4200 registrierten Fällen einen Tiefststand in Deutschland.
Dann entwickelten sich die Zahlen wieder nach oben. "Es gibt einen Zusammenhang mit der aktuellen Zuwanderung", sagt Lena Fiebig, Infektionsforscherin am RKI. "Migration ist aber nicht die Ursache von Tuberkulose. Das Bakterium ist es", ergänzt sie. "Es ist sehr ungleich in der Welt verteilt. Es kommt aber auch in Deutschland vor", sagt Fiebig vor dem Welttuberkulosetag am 24. März. Vor 135 Jahren, am 24. März 1882, gab Robert Koch in Berlin die Entdeckung des Erregers der Tuberkulose bekannt.
Dass die Fallzahlen bundesweit gestiegen sind, kommt für die Wissenschaftlerin nicht überraschend. Sie sieht es sogar positiv: Es zeige, dass Menschen mit TBC gefunden würden - und damit eine Weiterverbreitung verhindert werde. Bevor Flüchtlinge in Gemeinschaftsunterkünfte ziehen, werden sie auf Tuberkulose untersucht. Diese Regel gilt aber für alle größeren Unterkünfte - zum Beispiel auch für Gefängnisse.
Tuberkulose-Erreger fühlen sich in Großstädten wohl
In der Hauptstadt hat das Klinikum Neukölln im Februar eine Spezialambulanz Tuberkulose eingerichtet. Jeden Donnerstag ist Sprechstunde. Es muss sich noch herumsprechen, dass hier Klinikmediziner und Praxisärzte aus verschiedenen Fachbereichen zusammenarbeiten. Für Patienten hat das den Vorteil, dass sie ihren Arzt nach einem Klinikaufenthalt nicht wechseln müssen. Im sozial schwachen Bezirk Neukölln wäre es ohnehin schwierig, eine Praxis mit einem Spezialisten zu finden. "Es gibt genau zwei Lungenfachärzte", sagt Klinik-Chefarzt Wulf Pankow.
Aus der Hauptstadt war Tuberkulose nie ganz verschwunden. Mit seinem Team hat der Lungenspezialist die Berliner Fälle seit Jahren mit im Blick. Gerechnet auf Ansteckungen unter 100.000 Einwohnern gab es 2015 rund elf Patienten in Berlin, fast so viele wie in Bremen. In Frankfurt (Main) und Dortmund lagen die Zahlen mit fast 15 Fällen noch höher. Der bundesweite Schnitt liegt bei nur rund sieben Infektionen pro 100.000 Einwohner.
"Die Rate in Metropolen ist definitiv höher als im Rest des Landes", bestätigt Expertin Fiebig vom RKI. Das liege daran, dass die Bevölkerung anders zusammengesetzt sei. "Tuberkulose hat immer eine soziale Dimension", berichtet sie. Menschen ohne festen Wohnsitz und aus prekären Lebensverhältnissen hätten ein erhöhtes Risiko zu erkranken. Auch Alkohol- und Drogenmissbrauch könne eine Rolle spielen. Dazu kommt die Migration. Und auch eine dichtere Besiedlung. All das macht Tuberkulose-Bakterien die Verbreitung in Städten leichter.
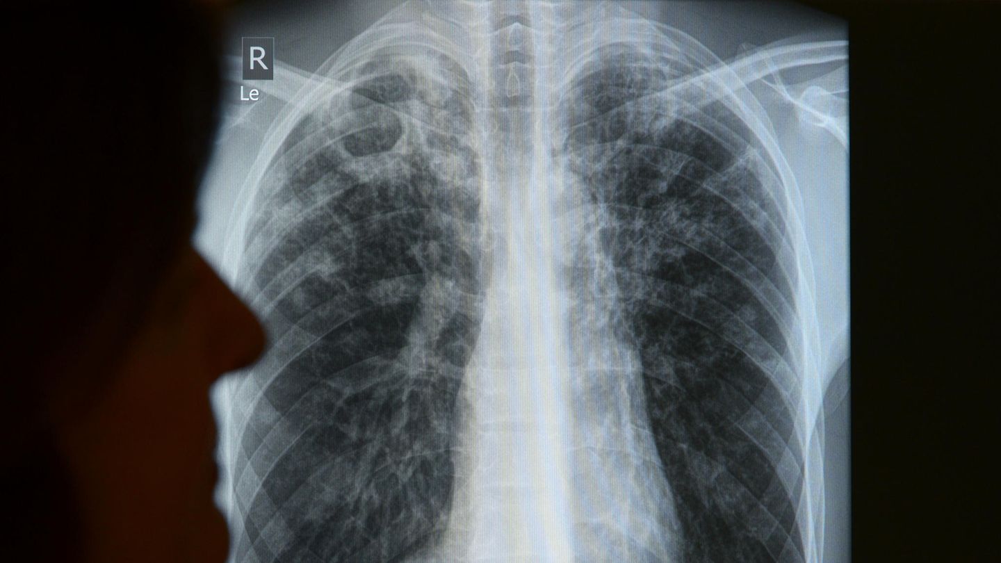
"Tuberkulose kommt in Deutschland vor. Aber eben nicht so häufig, dass jeder Arzt regelmäßig eine sieht", sagt Lena Fiebig. Deswegen denkt auch nicht jeder Mediziner bei längerem Husten, schwindenden Kilos und Nachtschweiß sofort an TBC - und einen Röntgencheck. Damit lassen sich häufig die typischen Veränderungen im oberen Teil der Lunge erkennen. Tuberkulose kann aber auch andere Organe befallen. Dann wird die Diagnose aufwendiger.
In die Berliner Tuberkulose-Ambulanz in Neukölln kamen bisher Patienten zwischen 19 und 90 Jahren. Stellen Ärzte eine ansteckende TBC-Form fest, muss ein Patient sofort einzeln untergebracht werden. "Manche akzeptieren das sofort, bei andern müssen wir auch an die Verantwortung anderen gegenüber appellieren", berichtet Oberarzt Norbert Frank. "Wenn da absolut keine Einsicht herrscht, erzwingen wir einen Aufenthalt im Gefängniskrankenhaus. Das ist sehr selten, aber wir haben das schon getan", ergänzt Wulf Pankow.
TBC ist heilbar - doch Resistenzen nehmen zu
Mehr als die Hälfte der TBC-Patienten im Klinikum Neukölln stammt nicht aus Deutschland. "Bei Migranten zeigt sich die ganze soziale Problematik", sagt Pankow. "Wir brauchen einen Dolmetscher, und wir müssen die Unterbringung klären. Über Bundesländergrenzen hinweg ist das besonders schwierig."
Tuberkulose wird über Tröpfchen in der Atemluft übertragen, ist aber nicht hochansteckend. Bei gesunden Menschen, die mit dem Erreger in Kontakt kommen, erkranken nur etwa fünf bis zehn Prozent, oft auch nicht sofort. Die Klinikambulanz hat auch mit Senioren zu tun, die sich in der Kriegszeit in Deutschland infizierten, aber erst jetzt durch Immunschwächen im Alter erkranken. "In der Regel ist TBC gut behandelbar und heilbar", sagt Pankow.
Doch Tuberkulose-Erreger sind tückisch. Man braucht vier Antibiotika gleichzeitig, um sie zu bekämpfen. Eine Standardtherapie dauert sechs Monate und kostet nach Angaben des Chefarztes rund 1200 Euro ambulant. Ein wachsendes Problem sind Resistenzen. Damit sind die Bakterien unempfindlich gegen die gängigen Medikamente - manchmal gleich gegen mehrere. Rund 125 solcher multiresistenten Fälle registrierte das RKI zuletzt im Jahr. Samt einem Klinikaufenthalt könnten die Behandlungskosten dann auf über 50.000 Euro steigen, berichtet Pankow. "Hier müssen dringend neue Medikamente entwickelt werden", fordert er.
"Der Schlüssel ist, früh dran zu denken, dass Tuberkulose auch in Deutschland noch vorkommt", sagt RKI-Expertin Fiebig. "Wir können ja nicht aufhören zu atmen."
